Nova Inteligência Artificial de “leitura da mente” traduz pensamentos diretamente das ondas cerebrais – sem implantesdez 26, 2023Ciência, Neurociência, Notícias
Os perigos ocultos dos jogos de apostas online: um alerta necessáriodez 25, 2023dez 25, 2023Ciência, Notícias, Psicologia
Arqueólogos encontraram uma lição de 2.000 anos sobre mudanças no nível do mar que destroem sociedadesdez 25, 2023Arqueologia, Ciência, Notícias
Baterias quânticas podem fornecer um novo tipo de armazenamento de energia ao mexer com o tempodez 25, 2023Ciência, Física, Notícias
O que acontece se você colocar um buraco negro no Sol?dez 24, 2023jan 3, 2024Astrofísica, Astronomia, Ciência, Notícias
Bactérias gigantes visíveis a olho nu têm um tipo de metabolismo nunca antes vistodez 24, 2023Biologia, Ciência, Notícias
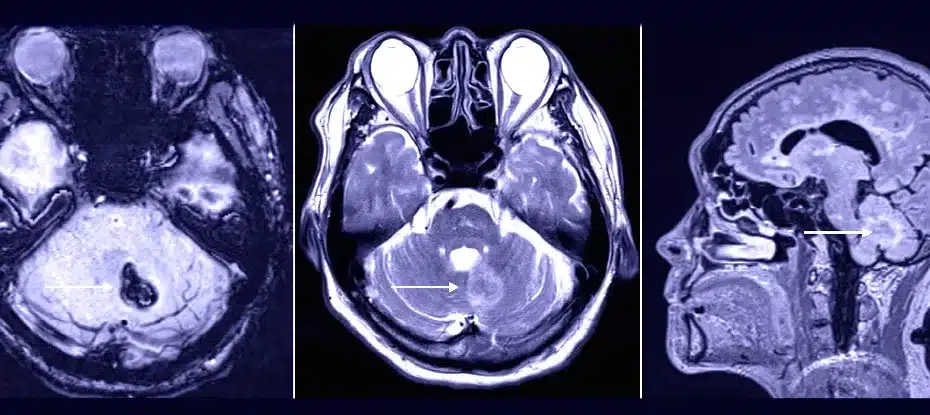
Visita ao dentista pode ter desencadeado sangramento cerebral raro em pacientedez 24, 2023Ciência, Notícias
Imagens surreais da NASA revelam a aparência de um eclipse solar em Martedez 24, 2023Astronomia, Ciência, Notícias
Espirais esculpidas nas rochas do Colorado há milhares de anos podem ser calendários antigosdez 23, 2023Arqueologia, Ciência, Notícias, Paleontologia